一般診療
一般治療
歯医者さんで行う治療の大きくは4つ
歯科医院で日常的に行われる基本的な治療は、「虫歯の治療」、「歯周病の治療」、「歯を失ってしまった部分の修復」、「歯並びの治療」に分けられます。
お口の中の悩みは患者さんによって十人十色で、時には複雑です。症状に応じて、並行して様々な治療を行っていきます。
ここでは、当院で行われる基本的な治療について簡単に説明していきます。
虫歯の治療
虫歯は、虫歯菌がお口の中に残っている糖分を分解して酸を作り、歯が溶けることが原因で起こります。最近は薬剤を用いた治療やレーザーで虫歯を削る治療も実用段階に入りつつありますが、何十年も前から現在に至るまで虫歯の治療は「削って詰める」のが基本です。
虫歯は深さによってC0~C4に分けられ、治療法も虫歯の程度によって異なります。
歯周病の治療
歯周病の治療は徹底的な歯石・細菌の除去になります。加えて定期的なクリーニング・歯科衛生士によるメンテナンスを行うことで歯周病の予防や進行の抑制に繋がります。
歯を失ってしまった部分の修復
歯を1本失うとその歯とその向かい合わせの歯が負担していた食べ物をかみ砕く作業は、残ったほかの歯で負担することになります。また、失った歯の隣の歯は支えを失い、徐々に倒れていく為、正常に機能しなくなっていきます。また、歯を失った部分は骨が痩せ、その結果、しわの目立つ顔貌に変化することもわかっています。そのため、歯が抜けてしまったらできるだけ早く補ってあげる必要があります。
歯を失った時の修復法は、「入れ歯」「ブリッジ」「インプラント」の3つです。
歯並びの治療
人の第一印象は3秒で決まるといわれています。歯並びが気になる方は、歯並びをよくすると、自分に自信がつき、日常生活も充実します。見た目だけではなく、歯並びを治すことで、虫歯や歯周病を防ぐだけでなく、噛み合わせがよくなって全身の健康にも繋がります。
当院では矯正専門医と提携して治療を行っています。矯正治療を始める前に虫歯や歯周病をしっかり治すことで、よりきれいで健康な歯並びをつくることができます。
歯並びでお悩みの方は一度ご相談ください。
大橋歯科医院ではすべての治療を綿密なカウンセリングの上で行うことを目指しています。
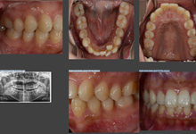
初診時には口腔内カメラを使用し、2回目以降もデータを積み重ねることで最適なプランを提案します。
初診

初診ではまず患者さんの希望に沿って応急処置を行い、診断に必要なレントゲンと簡易的な口腔内写真、必要に応じて歯や歯茎の検査を行います。
2回目の診療

2回目の診療では基本的にお口の中の全体写真を取り、お掃除をさせてただいています。虫歯や歯周病は歯並びやかみ合わせの状態などのお口の中の環境が密接に影響してきます。そのため、なぜ虫歯になったか、歯周病が進行してしまったかについて理解していただくことが重要だと考えています。
この段階で患者さん個人個人にあった治療方針を提案させていただいています。
3回目以降

2回目にお話しした治療方針によっては歯形の採得やCT撮影などを行います。これによりさらに精密な診断を行うことができます。


